SURGERY外科診察

埼玉県ふじみ野市の動物病院

科手術

前腕骨骨折整復(ロッキングシステム)

前腕骨骨折整復(ロッキングシステム)

強固かつ骨折修復過程に必要な組織を温存させた手術は治癒過程が早く、早期に運動を再開できます

超小型犬の骨折整復手術

超小型犬の骨折整復手術

小型犬ほど骨折が多く、治癒しにくいため、インプラントの選択が重要になってきます

大型犬の骨折整復手術

大型犬の骨折整復手術

大型犬の外傷性骨折はとても少なくなってきましたが、しっかりと対応しています

椎間板ヘルニア手術(術中)

椎間板ヘルニア手術(術中)

基本的には片側椎弓切除術による椎間板物質の摘出を行います。

椎間板ヘルニア手術(術後)

椎間板ヘルニア手術(術後)

椎間板の逸脱状況により、さらにアプローチを傷を小さくする場合もあります。

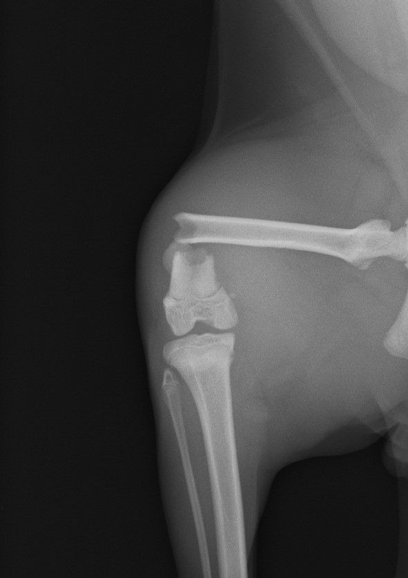
骨端部骨幹端骨折(術前)

骨端部骨幹端骨折(術前)

高所からの落下など骨端部骨折は少なくありません。端の手術のため難易度が高くなります。

1 2 3 6