SURGERY外科診察

埼玉県ふじみ野市の動物病院

科手術

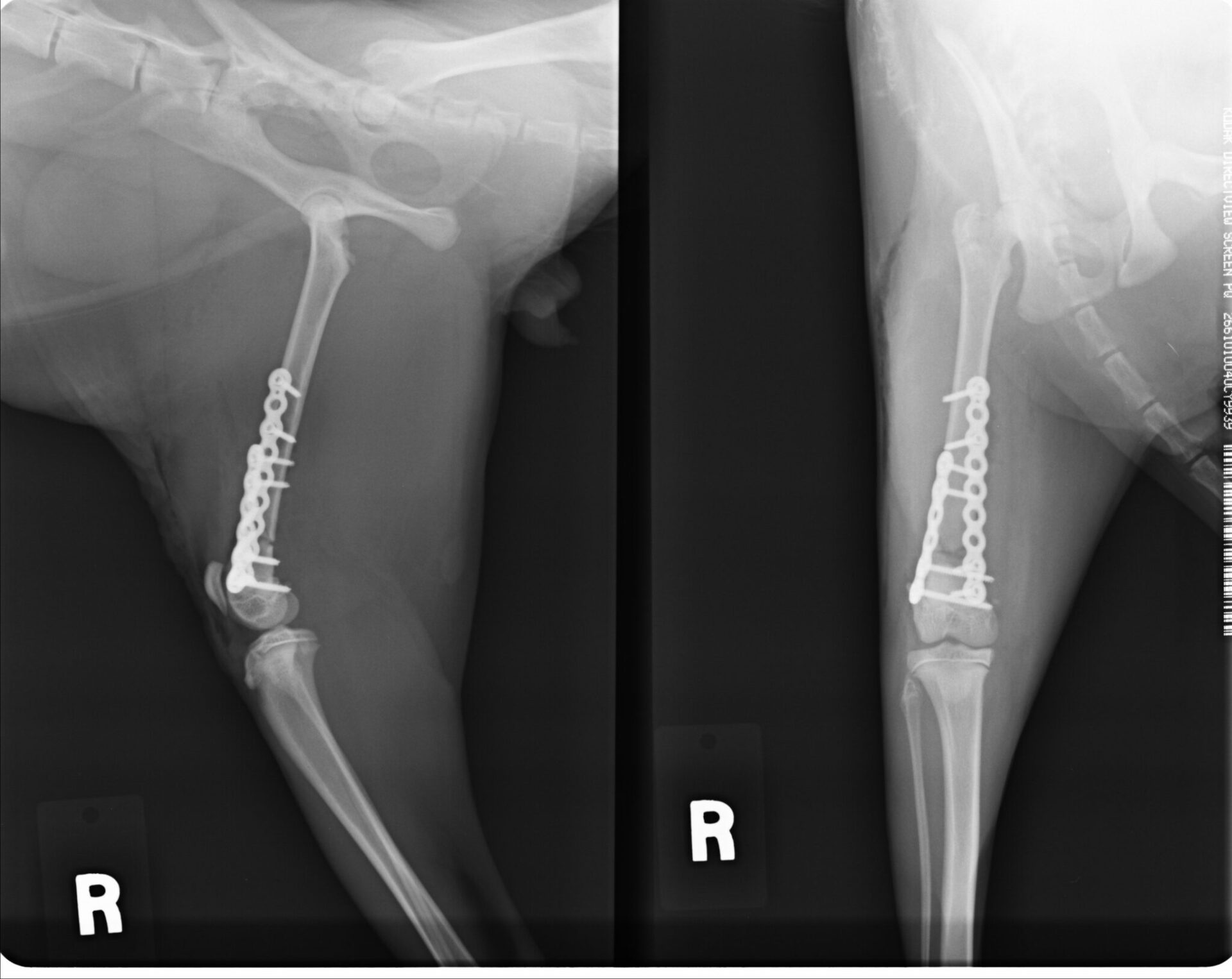
骨端部骨幹端骨折(術後)

骨端部骨幹端骨折(術後)

ダブルプレートによる強固な内固定ではピンニングと比べると、早期に歩行が可能になります

前十字靭帯断裂制動術(TPLO法・術前プランニング)

前十字靭帯断裂制動術(TPLO法・術前プランニング)

骨切りを行う前にインプラントの適応など入念な手術計画が必要です

前十字靭帯断裂制動術(TPLO法・術後)

前十字靭帯断裂制動術(TPLO法・術後)

TPLOをメインの手術手技として取り組んでいます。

腹腔鏡下胆嚢摘出術(術中)

腹腔鏡下胆嚢摘出術(術中)

術前に行う超音波検査とCT造影検査により適応可能な場合は、腹腔鏡で胆嚢を摘出します

腹腔鏡下胆嚢摘出術(術後創部)

腹腔鏡下胆嚢摘出術(術後創部)

開腹手術と比べると傷が小さく、術後の回復が早い他メリットがいくつかあります

胆嚢摘出術(開腹)

胆嚢摘出術(開腹)

慢性炎症により肝臓への癒着が強い場合、胆嚢破裂を伴ったり、総胆管閉塞が強い場合は、開腹手術が適応になります。