SURGERY外科診察

埼玉県ふじみ野市の動物病院

科手術

創外固定手術

創外固定手術

数種類のピンで小さな骨を安定させた後、皮膚の外から固定する方法を実施しています。

創外固定外観

創外固定外観

外観は痛々しいですが、早期に歩行が可能となりました。

術前CT

術前CT

術前CTから、巨大な腫瘍によってお腹の内臓は正常な位置にありません。

手術アプローチ

手術アプローチ

出血を抑えながら目的部分までアプローチします。

手術に際して

手術に際して

手術では滅菌されたドレープやガウンは当然のこと、器械は正確な滅菌工程を経て手術に使用されます。

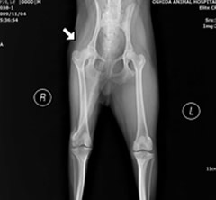
レッグ・ペルテス

レッグ・ペルテス

無菌性大腿骨頭壊死症

小型の若齢犬に多く、外科的治療が最優先となります。